Μία από τις ασθένειες που μπορεί να προκαλέσει αιμορραγία από τη μύτη, δηλαδή επίσταξη, είναι η λευχαιμία.
Αυτή είναι λέξη Ελληνική και το πρώτη συλλαβή προέρχεται από το...
λευκός, δηλαδή σημαίνει ότι προέρχεται από τα λευκά αιμοσφαίρια και η δεύτερη συλλαβή είναι -εμία που προέρχεται από το αίμα.
.Με τον όρο λευχαιμία εννοούμε την ανώμαλη παραγωγή ή τη μη κανονική παραγωγή των λευκών αιμοσφαιρίων στο σκύλο.
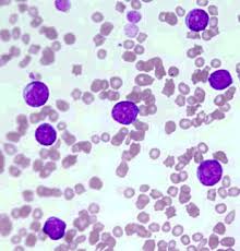
Στην εικόνα παρατηρούμε στο ιστολογικό παρασκεύασμα τα μεγάλα μπλε κύτταρα που είναι τα μη κανονικά κύτταρα δηλαδή τα λευχαιμικά κύτταρα....
Αυτή είναι λέξη Ελληνική και το πρώτη συλλαβή προέρχεται από το...
λευκός, δηλαδή σημαίνει ότι προέρχεται από τα λευκά αιμοσφαίρια και η δεύτερη συλλαβή είναι -εμία που προέρχεται από το αίμα.
.Με τον όρο λευχαιμία εννοούμε την ανώμαλη παραγωγή ή τη μη κανονική παραγωγή των λευκών αιμοσφαιρίων στο σκύλο.
Στην εικόνα παρατηρούμε στο ιστολογικό παρασκεύασμα τα μεγάλα μπλε κύτταρα που είναι τα μη κανονικά κύτταρα δηλαδή τα λευχαιμικά κύτταρα....

0 comments:
Δημοσίευση σχολίου